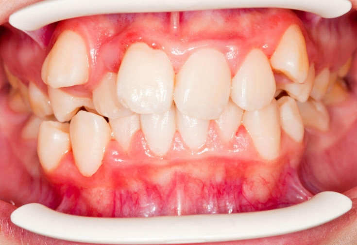
Неправильне положення зуба у зубному ряду називається дистопією. Дистопований зуб може бути зміщений за межі альвеолярного відростка щелепи. Таке становище зуба ускладнює прорізування і зростання сусідніх зубів, крім того, створює значний косметичний дефект. Найчастіше дистопованим зубом виступає третій моляр («зуб мудрості»), верхні та нижні ікла.
Дистопія зубів розвивається на тлі екзогенних, генетичних та ембріональних факторів. Лікування дистопованого зуба залежить від ступеня впливу на слизову оболонку ротової порожнини та вираженості косметичного дефекту.
Основні причини зростання дистопованого зуба
Однією з найчастіших причин дистопії зубів є неправильне формування зачатків зубів у період ембріогенезу. Дистопія з'являється при різкому порушенні пропорції розмірів молочних та постійних зубів, при ранньому видаленні тимчасових зубів, при частковій адентії, а також при порушенні послідовності та термінів прорізування зубів.
При невідповідності розмірів щелепи людини та величини її зубів також можуть з'являтися дистоповані зуби. Таке зустрічається у дітей, які успадковують від одного з батьків велику величину зубів, а від іншого з батьків маленький розмір щелепи.
Серед екзогенних факторів виділяють травматичну причину. Якщо положення зуба змінено частково, і зв'язок із лункою збережено, йдеться про неповну дистопію. При повному зміщенні зуба за межі лунки в умовах утримування зуба м'якими тканинами процес розцінюється як повна дистопія зуба.
Досить часто дистопованими зубами є ікла та зуби мудрості. Чому саме ці зуби знає estet-portal.com. Це пов'язано з тим, що до моменту появи іклів у зубному ряду для них не залишається місця в зубному ряду, що змушує їх рости не на своєму призначеному місці. Зуби мудрості часто виявляються дистопованими через те, що вони не мають попередників, і їм самим доводиться проростати крізь кісткову тканину.
Варіанти розташування дистопованого зуба:
- вестибулярне;
- дистальне розташування;
- оральне;
- мезіальне;
- супроположення;
- інфраположення;
- транспозиція;
- тортопозиція.

Можливі впливи дистопованого зуба на тканини ротової порожнини
Дистопований зуб приносить, крім естетичних проблем, функціональні порушення. У деяких випадках дистопований зуб може виявлятися в тілі або гілки нижньої щелепи, у стінці порожнини носа, очниці або у твердому небі.
Дистопований зуб заважає нормальному прорізуванню зубів, що сприяє розвитку неправильного прикусу. До того ж, дистопований зуб пошкоджує та травмує тканини губ, язика та щік, що закінчується формуванням декубітальних виразок.
Дистопований зуб не дозволяє здійснити адекватну гігієну порожнини рота, провести процедуру видалення харчових залишків та зубного нальоту. Над частиною дистопованих і ретинованих зубів, що прорізається, часто формуються ясенові кишені. У них накопичуються мікроорганізми та залишки їжі, які призводять до розвитку запального процесу та перикороніту.
Коли видалення дистопованого зуба не є обов'язковим?
Якщо дистопований зуб не є серйозною функціональною та естетичною проблемою, а лише сприяє постійній травматизації слизової оболонки порожнини рота, тоді проводять прошліфування гострих пагорбів. Якщо для дистопованого зуба знаходять місце у зубній дузі, проводиться ортодонтичне лікування.
У всіх інших випадках перевага в лікуванні надається хірургічному видаленню дистопованого зуба. Також за наявності щелепних кіст, наявності складнощів з протезуванням або лікування карієсу 7-х зубів, остеомієліту, періодонтиту показано видалення дистопованого зуба.

Додати коментар