Зуби для людини є важливою складовою її зовнішності. Тому всі прагнуть мати якомога красивіші зуби. Краса зубів та посмішки загалом багато в чому залежить від кольору зубів. На цю характеристику зубів впливають багато факторів, серед яких захворювання, що проявляється плямами на зубах, що дуже псує їхній зовнішній вигляд. Це – флюороз. Причини виникнення та методи лікування флюорозу читайте у нашій статті.
Плями на зубах. Причини появи плям на зубах
Перші випадки флюорозу були виявлені та описані ще наприкінці 19 століття. Тоді причина не була встановлена, захворювання носило назву «плямиста емаль». Пізніше було встановлено причину розвитку плям на зубах, що полягала у підвищеному вмісті фтору у воді.
Фтор є важливим для організму мікроелементом і необхідний нормального розвитку фізіологічних процесів. Фтор міститься в емалі зубів та в кістковій тканині. Організм поповнює запаси фтору із води та їжі. При вступі до організму фтор засвоюється в дуже невеликих кількостях. Основна частина надходить у вигляді розчинених фторидів у воді.
У воді концентрація фтору має бути 1 мг/л. При вмісті фтору у воді більше 1,5 мг/л розвивається флюороз. Трапляються випадки появи плям на зубах у вигляді професійного захворювання у працівників алюмінієвої промисловості, які вдихають у повітрі підвищену концентрацію фтору. При недостатньому надходженні фтору це сприяє розвитку карієсу зубів.
При вагітності надлишок фтору у воді не поширюється на плід, оскільки плацента затримує його зайву кількість. Тому у дітей на молочних зубах плям на зубах не буває ніколи.
А ось при прорізуванні постійних зубів у людини, яка жила та проживає в ендемічному районі з підвищеним вмістом фтору у воді, можлива поява вже пошкоджених зубів.
Класифікація проявів флюорозу. Форми флюорозу
За клінічними проявами розрізняють 5 основних форм флюорозу: плямиста, штрихова, крейдяно – крапчаста, ерозивна та деструктивна. Буває, що в того самого пацієнта різні зуби уражаються різними формами флюорозу. У разі виникнення однієї форми вона ніколи не трансформується в іншу.
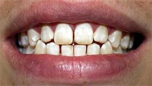
Ендемічний флюороз вражає поверхню зубів з боку щік і проявляється плямами або смугами білого кольору. Через кілька років від початку процесу ці смуги забарвлюються у жовтий або бурий колір. Часто уражаються різці верхньої щелепи. Можлива поява ерозій та сколів на емалі зуба.
Основні методи лікування флюорозу. Профілактика флюорозу
При виявленні на зубах ознак флюорозу пацієнту рекомендується здати вживану воду на вміст фтору. При виявленні підвищеної концентрації необхідно змінити джерело води чи очищати воду. Таким пацієнтам потрібно не використовувати зубну пасту із фтором.
Видалення уражених ділянок зуба та подальше пломбування не застосовують, оскільки часто такі пломби випадають і зуб руйнується далі. Пацієнтам з виявленим флюорозом призначають препарати кальцію та фосфору.
За наявності у пацієнта легкої форми флюорозу пропонується лазерне або світлодіодне відбілювання зубів. Після цієї процедури проводиться ремінералізація зуба, яка полягає у нанесенні на емаль сполук кальцію та фосфору шляхом аплікації. Для цього також застосовуються методи. ультрафонофорезу та електрофорезу. При лікуванні флюорозу потрібно не менше 10 процедур ремінералізації.
При тяжкій формі флюорозу (меловидно-крапчаста та ерозивна форма) відбілювання зубів неефективне. Тому застосовується реставрація зубів із використанням люмінірів чи вінірів. При неефективності показано лікування ортопеда та встановлення металокерамічної коронки.
З метою запобігання флюорозу необхідно очищати воду в ендемічних районах та всіляко зменшувати споживання фтору шляхом відмови від зубних паст із вмістом фтору, обмеження надходження з їжею (риба, вершкове масло). У профілактиці флюорозу у дітей важливе значення має раціональне харчування з вітамінами та молочними продуктами.

Додати коментар