Лікування поліпу ендометрію – складний процес, що вимагає проведення діагностичних інструментальних та лабораторних досліджень, правильної оцінки їх результатів та прийняття рішення про вибір методики терапії.
Гіперпластичні процеси, у тому числі поліпоз, можна лікувати консервативно, або радикально – за допомогою хірургічного втручання.
На estet-portal.com читайте,як правильно скласти терапевтичну схему, а також, які методи консервативної та радикальної терапії є пріоритетними.
Консервативне лікування поліпа ендометрію
Консервативна терапія показана в комплексі з хірургічним лікуванням, або її призначають молодим пацієнткам з одиночними поліпами невеликих розмірів, без сильних проривних кровотеч та великого запального процесу.
Якщо діагностовано залізисто-фіброзні та залізисті поліпозні розростання ендометрію, то призначають гормональне лікування, спрямоване на врегулювання гормонального фону та стабілізацію менструального циклу. Термін терапії гормонами триває від 3 до 6 місяців.
Найчастіше прописують:
• дівчатам та жінкам до 35 років: естроген-гестагенні комбіновані оральні контрацептиви;
• пацієнткам після 35 років показані гестагени;
• жінкам, які не планують завагітніти в найближчі 5 років, прописують використання внутрішньоматкової системи.
Антибіотики – ще одна група препаратів вибору при лікуванні поліпа ендометрію, адже причина патології найчастіше ховається у хронічних запальних процесах, локалізованих в органах малого тазу та геніталіях.
При лікуванні поліпа ендометрію, в терапевтичну схему включають вітамінні засоби та біологічно активні добавки. Після маткових кровотеч для своєчасного відновлення організму пацієнтці призначають вітаміни групи В і залізо.
Основні методи діагностики та лікування поліпа шийки матки
Хірургічне лікування поліпа ендометрію: основні види операцій
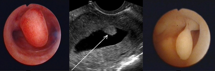
Підтверджений діагноз поліпа ендометрію – пряме показання до призначення діагностичної гістероскопії та проведення гістологічного аналізу одержаних тканин. Перерахуємо основні види оперативних втручань, які застосовуються при лікуванні поліпа ендометрію:
1. Поліпектомія. Проводять за наявності великого одиночного поліпа на ніжці. Тоді його "викручують", а залишкову ранову поверхню припікають електричним струмом або рідким азотом. Ці маніпуляції запобігають, хоч і не завжди, утворенню нових патологічних утворень. Операція проходить швидко, проте проводиться під загальним наркозом.
2. Гістероскопія – видалення поліпа за допомогою ендоскопічного приладу гістероскопа, який вводять через шийку у порожнину матки.
3. Вишкрібання. Нові сучасні методи лікування поліпа ендометрію стрімко витісняють цей вид терапії.
4. Операція з видалення матки. Гістероектомія проводиться вкрай рідко, і найчастіше за наявності ознак злоякісності освіти.
Найактуальніші статті читайте у Telegram
Особливості лікування аденоматозних поліпів
Аденоматозний поліп потребує особливого контролю, оскільки великий ризик його переходу з доброякісної до злоякісної форми. При такому діагнозі всім жінкам клімактеричного віку показано екстирпацію (видалення) матки.

Якщо існує серйозний ризик виникнення раку (обтяжена спадковість, серйозні порушення гормонального фону, робота на шкідливих виробництвах), то разом із маткою видаляють і придатки. Пацієнткам дітородного віку видаляють лише поліп, проте потім активно спостерігають за їх станом.
Основні принципи лікування після видалення поліпа
На третій день після операції з видалення поліпа призначають контрольне УЗД.
Якщо пацієнтці було проведено екстирпацію матки, важливо забезпечити пацієнтці:
• Адекватне знеболювання. Присутність сильних післяопераційних болів різко погіршує стан жінки та уповільнює процес одужання;
• правильне харчування для нормалізації роботи кишечника та профілактики запорів та здуття;
• достатнє та регулярне фізичне навантаження.
Після видалення поліпа, для профілактики розвитку інфекції, призначають антибіотики широкого спектру дії.
Шви щодня обробляють дезінфікуючим розчином, працюючи лише стерильним інструментарієм. Перев'язки роблять щодня, стежачи за станом післяопераційного рубця. При необхідності призначають симптоматичне лікування з урахуванням хронічних патологій та скарг пацієнтки.

Пізній післяопераційний період починається другого тижня після екстирпації і часто триває до двох років. Операція викликає різкий збій гормонального фону, тому без лікарської корекції не обійтись.
Читайте також: Жіноча безплідність: типи, причини та фактори

Додати коментар