У тканині ясна запальний процес може супроводжуватися формуванням хибних зубоясенних кишень, які закривають зубну коронку. Такий процес називається гіпертрофічним гінгівітом. Це форма хронічного гінгівіту, яка протікає з величезним переважанням гіпертрофічних процесів. Захворюванню передують тривалі поточні запалення катарального характеру в тканині ясен. Гіпертрофічний гінгівіт може бути самостійною патологією або супроводжувати загострення генералізованого пародонтиту. Докладніше про причини, симптоми та лікування гіпертрофічного гінгівіту читайте далі.
Які причини розвитку гіпертрофічного гінгівіту?
До місцевих причин гіпертрофічного гінгівіту належать порушення прикусу, наявність зубних відкладень, аномалії окремих зубів, неправильно встановлені пломби, низьке прикріплення вуздечки, механічна травматизація ясен, нераціонально підібрані зубні протези. Порушення гігієни ротової порожнини при носінні ортодонтичних апаратів сприяє розвитку гіпертрофічного гінгівіту.
Серед загальних факторів, що сприяють розвитку гіпертрофічного гінгівіту, виділяють зміну гормонального статусу. Ця причина є головною у розвитку гіпертрофічного гінгівіту в період статевого дозрівання, у період клімаксу та при вагітності.
Також ендокринологічні порушення та прийом деяких медикаментів збільшують ризик розвитку гіперпластичного гінгівіту.
Основні клінічні прояви гіпертрофічного гінгівіту
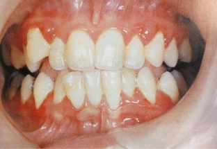
Гіпертрофічний гінгівіт проявляється відчуттям печіння, кровоточивістю ясен та хворобливістю під час процедури чищення зубів. Про зовнішній вигляд ясен при гінгівіті читайте на estet-portal.com. Десна має яскраво – червоний колір визначається гіпертрофія міжзубних проміжків. При огляді ясенові сосочки збільшені у розмірі, набряклі, визначається гіперемія з синюшним відтінком. Десневі сосочки мають глянсовий блиск. Часто формуються ясенні кишені, що містять детрит. Зубодеснева сполука при гіпертрофічному гінгівіті не порушена.
Фіброзний гінгівіт проявляється скаргами пацієнта на збільшення ясен, їх виражену щільність та зіпсований естетичний вигляд. Така ясна може створювати дискомфортні відчуття при пережовуванні їжі. При цьому вона має блідо – рожевий колір та нерівну поверхню. Під час огляду виявляються підясенні відкладення.

Діагностичний процес при гіпертрофічному гінгівіті
При виявленні підозри на гіпертрофічний гінгівіт необхідно визначити деякі параметри для уточнення діагнозу. Це індекс гігієни, папілярно – маргінально – альвеолярний індекс, пародонтальний індекс, також необхідно провести пробу Шіллера. Писарєва. Морфологічне дослідження тканин ясен та біопсії проводяться за потребою. На рентгенограмі жодних змін не виявляється, тому її проведення є недоцільним.
Диференціальна діагностика гіпертрофічного гінгівіту проводиться з такими захворюваннями:
- епулісом;
- фіброматоз ясен;
- з розростанням ясен при пародонтозі.
Лікування різних форм гіпертрофічного гінгівіту
Лікування набрякової форми гіпертрофічного гінгівіту складається з видалення зубних відкладень, обробки антисептиками слизової оболонки рота, застосування пародонтологічних аплікацій, ротових ванн, полоскання відварами трав та фізіотерапевтичних процедур - це дарсонвалізація, ультразвук, електрофорез, гальванізація.
>Якщо перераховані вище методи лікування виявилися неефективними, застосовують склерозуючу терапію, яка полягає в ін'єкційному введенні розчинів глюконату або хлориду кальцію в ясенові сосочки.
Може вводитися глюкоза та етиловий спирт. Маніпуляції проводяться під місцевим знеболенням. Для зменшення набряку використовуються гормональні мазі. Фіброзний гіпертрофічний гінгівіт лікується за допомогою кріодеструкції або діатермокоагуляції гіпертрофованих сосочків. Також використовується гінгівектомія, яка передбачає висічення ділянки ясна, що розрослася.
Місцеве лікування полягає в усуненні травмуючих факторів. Критеріями ефективності лікування гіпертрофічного гінгівіту є зміни зовнішнього вигляду ясен та відсутність скарг.

Додати коментар