Ендемічний флюороз – поширене захворювання для багатьох регіонів із високим вмістом фтору у воді. Флюороз поширений у гірських районах арабських та середньоазіатських країн, але також зустрічається і в Прибалтиці, Україні, Європейській частині Росії.
Основні джерела підвищеного вмісту фтору: вода, харчові продукти, повітря в індустріальних містах та надмірне вживання зубної пасти.
Проте питна вода є найважливішим джерелом хімічних елементів. На estet-portal.com читайте про різновиди, симптоми та профілактику флюорозу.
Особливості перебігу флюорозу: клінічна картина по стадіях
Найчастіше флюороз розвивається ще в дитячому віці. у період формування кісткової тканини та її мінералізації. Однак при перевищенні рівня фтору більше 6 мг/л, захворювання може вражати зубну емаль, що вже сформувалася, у дорослих.
У нормі добова доза фтору для дорослої людини не повинна перевищувати 4 мг: 0,7-1,5 мг/л у питній воді та до 2-2,5 мг/л у харчових продуктах.
Залежно від площі та характеру ураження захворювання ділять на кілька стадій.

За класифікацією ВООЗ флюороз ділиться на п'ять ступенів у міру вираженості процесу:
I. Дуже легка – емаль практично без змін.
II. Легка – поява білих смуг та дрібних плям на емалі (до 25% площі).
III. Помірна – поширення пігментованих плям за площею коронки (до 50%).
IV. Середній тягар – вся коронка вкрита цятками, емаль стає матовою, а пігментації набувають жовтого або коричневого відтінку.
V. Тяжка – часткове руйнування емалі та поява ерозій та ямок.
При незначному перевищенні вмісту фтору уражаються тільки різці, при великому ndash; всі зуби.
Меловидні плями на зубах : що означають і як позбутися
Різновиди форм флюорозу: від дрібних штрихів до великих ерозій
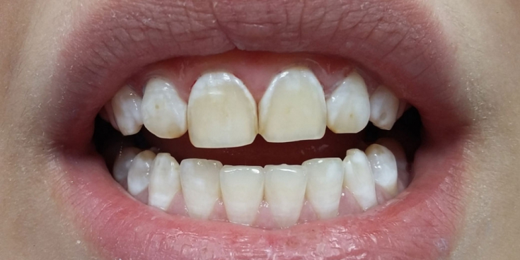
Для флюорозу характерна загальна симптоматика для всіх форм патології: починається захворювання з появою крапчастості на емалі, яка стає більш прозорою та змінює забарвлення на жовтувато-коричневе. Також підвищується чутливість зубів до змін температури та кислого середовища, у важких випадках – ndash; руйнування зубної тканини.
Виділяють такі форми флюорозу:
• штрихова (виражені білі смужки Гунтера-Шрегера та лінії Рітціуса);
• плямиста (меловидні плями);
• меловидно-крапчаста (плями коричневого кольору);
• ерозивна (виражена пігментація, резорбтивні процеси, оголення дентину).
В основі патогенезу флюорозу лежить руйнування твердої тканини зубів з ділянками гіпо- та гіпермінералізації.
Характерні флюорзні плями – це відкладення фториду кальцію на емалі зубів. Фтор знижує активність лужної фосфатази у енамелобластах, що порушує процеси мінералізації.
Форма флюорозу не змінюється протягом життя залежно від подальшого насичення фтором.
Читайте також: Фтор у зубній пасті: користь та шкода для організму
Профілактика флюорозу: як запобігти розвитку захворювання
Повністю забезпечити населення ендемічного району очищеною від фтору водою неможливо, але все ж таки є способи запобігання поширенню захворювання. Профілактика флюорозу полягає у заміні джерела питної води та застосування методів її очищення від надлишку токсичного елемента.

На сьогодні виділяють:
• методи осадження (за допомогою солей кальцію, магнію та алюмінію);
• сорбційні методи (використовують активоване вугілля, магнезильні та фосфатсодержащіе сорбенти);
• електрокоагуляція (електроліз алюмінію);
• мембранні методи (електродіаліз, нанофільтрація, зворотний осмос).
Щодо ранньої профілактики флюорозу у дітей: слід уникати раннього введення прикорму та штучного годування.
Необхідно дотримуватись добової норми вмісту фтору в раціоні та обмежити прийом продуктів, що містять фтор (морська риба, шпинат, тваринні жири). Додатково вводять вітаміни C, D і глюконат кальцію, які значно зменшують прояви флюорозу. Вам також може бути цікаво: Переваги та недоліки різних способів відбілювання зубів

Додати коментар