Порушення обміну мінералів в організмі людини насамперед позначаються на стані його кісток. При недостатності вітаміну Д у дитячому віці виникає небезпечне захворювання на рахіт. У дорослих мінеральна недостатня проявляється у вигляді такої патології як остеомаляція.
Це захворювання характеризується розм'якшенням кісткової тканини та деформацією кісток людини, внаслідок чого виникає м'язова слабкість, біль у кістках, функціональна недостатність, а також часто бувають переломи кісток навіть за дуже слабкого впливу травмуючого фактора.
Таким чином, ефективна діагностика та лікування синдрому остеомаляції необхідно розпочинати якомога раніше.
Діагностика та лікування синдрому остеомаляції: основні методи
Пацієнти із синдромом остеомаляції звертаються за допомогою до лікарів із характерними скаргами, що дозволяють запідозрити саме цю ендокринну патологію. Привертає увагу наявність у таких пацієнтів переломів, які були пов'язані зі значною травмою. Зайва гнучкість кісток провокує розвиток вираженого больового синдрому та слабкості у м'язах, що також є специфічними симптомами.
Проте, встановити точний діагноз дає можливість проведення необхідного обсягу лабораторних та інструментальних методів досліджень, після чого можна рекомендувати пацієнтові схему лікування остеомаляції.
Остеомаляція:
- лабораторні методи діагностики синдрому остеомаляції;
- інструментальні методи діагностики синдрому остеомаляції;
- ефективні методи лікування синдрому остеомаляції.
Лабораторні методи діагностики синдрому остеомаляції
Проводячи лабораторні дослідження для діагностики синдрому остеомаляції, важливо виділити специфічні показники, які вказують на наявність саме цієї патології. При дефіциті вітаміну Д у лабораторних показниках спостерігається:
- зниження рівня фосфатів у крові,
- концентрація кальцію в крові на нижній межі норми або нижче норми,
- низький рівень кальцидіолу;
- підвищення паратгормону;
- підвищення рівня лужної фосфатази.
Усі ці показники з високою ймовірністю свідчать про наявність синдрому остеомаляції у дорослих пацієнтів. Диференціальна діагностика за лабораторними показниками проводиться з первинною втратою фосфатів, метаболічним ацидозом, остеопорозом та деякими іншими патологічними станами.
Інструментальні методи діагностики синдрому остеомаляції
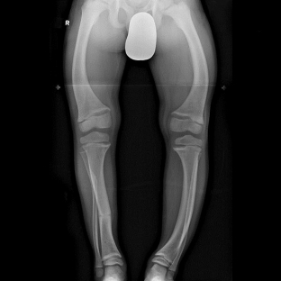
Інструмент Дослідження також широко застосовуються для діагностики синдрому остеомаляції. За допомогою гістоморфологічного дослідження вдається оцінити швидкість кальцифікації та кісткоутворення. Для цього застосовується метод подвійної тетрациклінової мітки, за результатами якого при остеомаляції зменшується відстань. між двома тетрацикліновими мітками, і з'являється немінералізований матрикс. Рентгенологічні дослідження є найінформативнішими при синдромі остеомаляції. Важливими ознаками остеомаляції є зміни тіл хребців: розмитість їх малюнків, увігнутість країв,
Характерним рентгенологічним симптомом остеомаляції є виявлення зон Лоозера – тріщин або вузьких ліній, які пропускають рентгенівські промені, мають склеротично змінені краї та розташовуються перпендикулярно кортикальному краю кістки.
Ефективні методи лікування синдрому остеомаляції
Лікування синдрому остеомаляції має насамперед такі цілі: усунення дефіциту вітаміну Д, гіпофосфатемії та гіпокальціємії. Пацієнтам призначаються препарати природного вітаміну Д, його активні метаболіти чи його аналоги. Препарати кальцію необхідно додавати при дефіциті його споживання або всмоктування, при гіпокальціємії.
Препарати фосфору показані при гіпофосфатемії, але у клінічній практиці вони рідко призначаються дорослим пацієнтам. У деяких випадках, наприклад, при гіповітаміноз Д, пов'язаному з синдромом мальабсорбції, пацієнтам призначаються кальцитріол і альфакальцидол у дозах, які не викликають гіперкальціурію та гіперкальціємію.

Додати коментар