Гіпоплазія емалі сьогодні зустрічається все частіше, і фахівці пов'язують цей неприємний факт із постійним збільшенням кількості шкідливих факторів, що впливають на жінку в період вагітності та на дитину перших місяців життя. Плями на зубах як прояв гіпоплазії емалі виявляються практично у половини дітей дошкільнят та молодших школярів, причому і на молочних, і на постійних зубах. На думку estet-portal.com, це веде до значного збільшення захворюваності зубів у старшому віці, тому потребує пильної уваги стоматолога.
Причини розвитку гіпоплазії емалі та прояви плям на зубах
Загальноприйнята думка щодо причин гіпоплазії емалі така, що причиною виступають порушення обміну речовин в організмі плода під час його внутрішньоутробного розвитку. Причому йдеться не лише про порушення мінерального обміну.
Серед причин, що негативно впливають на плід і викликають згодом гіпоплазію емалі:
• токсикози вагітних;
• інфекційні захворювання, перенесені під час вагітності, у тому числі ГРВІ.
Порушення формування зубної емалі спостерігаються у недоношених дітей, а також у малюків з проявами рахіту, атопічного дерматиту.
Гіпоплазія емалі молочних зубів у дитини пов'язана зі шкідливим зовнішнім впливом на організм майбутньої матері.
А ось гіпоплазія на постійних зубах обумовлена порушеннями обмінних процесів та хворобами малюка першого року життя. Формування емалі центральних різців постійних зубів відбувається приблизно на 5-6-му місяці життя дитини, другі різці та ікла формуються на 8-9-му місяці. Якщо в цей час дитина хворіє на ГРВІ або інші інфекційні захворювання, високий ризик формування гіпоплазії емалі постійних зубів.
Не надто значні захворювання малюка можуть позначитися на емалі зубів у вигляді меловидних цяток. Якщо дитина хворіла довго і важко, існує ризик недорозвинення емалі зубів аж до аплазії.

Як виглядають плями на зубах при гіпоплазії зубної емалі
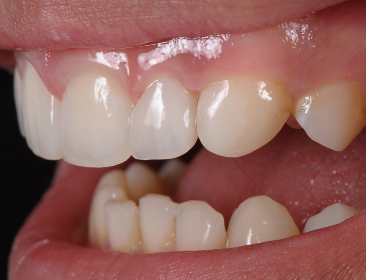
Гіпоплазія емалі, залежно від тяжкості захворювання, може виявитися зміною кольору, недорозвиненням або навіть повною відсутністю.
Часто зустрічається гіпоплазія у вигляді симетричних білих плям на зубах. Вони мають різну форму та розташовані симетрично на вестибулярній поверхні однойменних зубів. Поява таких цяток не супроводжується болем або неприємними відчуттями. Протягом життя такі плями не змінюють форми та кольори. Візуально вони виділяються тим, що зовнішній шар емалі на цих місцях блискучий і гладкий, що не змінює кольору навіть при взаємодії з барвниками напоїв або продуктів.
Ще одна форма гіпоплазії, що часто зустрічається, виглядає як хвиляста, точкова емаль зуба. Стоматолог під час огляду добре бачить чергування невеликих валиків, точок, заглиблень у емалі різному рівні. Спочатку ці ділянки гіпоплазії мають нормальний колір.
У міру зростання зуба точкові ділянки гіперплазії емалі пігментуються, з'являються темні плями на зубах.
Іноді гіпоплазія може проявлятися гіперпігментованою смугою або декількома борозенками на коронці зуба. Для цієї форми гіперплазії характерно те, що навіть при важких її формах цілісність емалі не порушується. Зрідка трапляється аплазія емалі на певній ділянці зуба. Вона стає причиною больового синдрому при контакті зубів із будь-яким подразником, але якщо дратівливий фактор усунути, біль зникає.
Місцева гіпоплазія емалі розвивається на постійних зубах, якщо на етапі формування їх зачатків дитина перенесла сильне запальне захворювання. Клінічно вона проявляється точковими жовтувато-коричневими плямами та заглибленнями по всій поверхні зуба. При цьому емаль частково або повністю відсутня, що дозволяє хвороботворним мікробам проникати всередину, викликаючи глибокий карієс та ураження глибших тканин зуба.
Можливості терапії при гіпоплазії емалі та плямах на зубах
Вибір тактики лікування залежить від рівня вираженості гіпоплазії емалі. Якщо йдеться про поодинокі цятки без руйнування емалі або з її неглибоким ураженням, обмежуються ретельним доглядом за порожниною рота та профілактикою карієсу.
Коли плями на зубах розташовані на вестибулярній поверхні, змінюють пігментацію та стають естетичним дефектом, проводять їх пломбування з використанням композиційних матеріалів. У разі сильно пошкодженої емалі, руйнування дентину можна говорити про ортопедичне лікування.
Читайте також: Простий наліт або рак: приховані симптоми раку язика

Додати коментар