Бульбашка (пемфігус) - це аутоімунне захворювання слизових оболонок і шкіри. В основі цього процесу лежить порушення адгезії між епідермальними клітинами шкіри, зване акантолізом.
Саме акантоліз сприяє зв'язуванню аутоантитіл з кератиноцитами. Доказами аутоімунної природи пухирчатки є отримані антитіла до антигенів епідермісу у сироватці крові хворих методами прямої та непрямої флуоресценції.
Клінічно пухирчатка поділяється на два види - вульгарна пухирчатка та листоподібна пухирчатка.
Читайте на estet-portal.com докладніше про вульгарну пухирчатку, адже в дерматологічній практиці найпоширенішою є саме така форма пемфігусу.
- Причини та механізм розвитку вульгарної пухирчатки
- Характеристика антигенів вульгарної пухирчатки
- Яка ж клінічна картина вульгарної пухирчатки
- Методи специфічної діагностики та лікування вульгарної пухирчатки і
Причини та механізм розвитку вульгарної пухирчатки
Причиною багатьох аутоімунних процесів є генетична схильність.
Це означає, що в процесі формування імунної системи відбувається дефектна селекція в тимусі Т - клітин. Таким чином, на периферію потрапляють аутореактивні клони Т - клітин, які можу розпізнавати комплекс аутоантиген - молекула 2 класу головного комплексу гістосумісності.Селекція ґрунтується на розпізнаванні такого комплексу клітинами Т - лімфоцитами у тимусі та виведенні розпізнаючих Т - клітин усередині тимусу. Цей процес порушується за наявності особливостей молекули ГКГ 2 класу, яка є поліморфною у людей з різними генотипами.
Тобто саме поліморфізм HLA-DR та HLA-DQ є генетичною основою схильності людини до вульгарноїу пемфігусу.
Читайте найцікавіші статті в Facebook !
Характеристика антигенів вульгарної пухирчатки
У ході досліджень з'ясувалося, що при вульгарному пемфігусі виробляються антитіла проти кератиноцитів.
Після того, як з мембранами кератиноцитів зв'язуються аутоантитіла, починається акантоліз, який супроводжується порушенням адгезії між клітинами з подальшим формуванням бульбашок.
Доведено, що до вищеописаного процесу не задіяні запальні клітини та система комплементу, проте присутність останнього здатна посилювати патогенність аутоантитіл.
При попаданні інфекції в місцях ушкодження шкіри розвивається вторинна інфекція, що значно погіршуєт клінічну картину та стан пацієнта.
Про що свідчить виникнення та прогресування піодермії у дорослих
Яка ж клінічна картина вульгарної пухирчатки
Як правило, першим симптомом вульгарної пухирчатки є пухирчаста висипка на слизовій оболонці рота. У процесі їди ці бульбашки пошкоджуються, і на їх місці з'являються досить болючі яскраво-червоні ерозії.
Верхня плівка з бульбашки, що лопнула, покриває ерозію, при цьому створюється враження білого нальоту на ерозії. На цій стадії пацієнт із вульгарною пухирчаткою рідко звертається до лікаря.
З часом ерозії розростаються та поєднуються, що супроводжується посиленням больових відчуттів у ротовій порожнині. При такій картині у людини ускладнюються процеси прийому їжі, з'являється неприємний запах з рота, хворому важко говорити.
За кілька місяців бульбашки з'являються і на тілі. Відомі варіанти перебігу вульгарної пухирчатки, коли бульбашки з'являлися і на шкірі, і на слизових оболонках одночасно.
Бульбашки на тілі заповнені прозорою рідиною і не супроводжуються будь-якими відчуттями.
Бульбашки на шкірі так само збільшуються в розмірі, об'єднуються між собою, лопаються, залишаючи після себе ерозії червоного кольору. На цій стадії у хворого з'являється субфебрильна температура та нездужання.
При приєднанні інфекційного процесу розвивається піодермія . Якщо на цій стадії не звернутися за кваліфікованою допомогою, можливий розвиток сепсису та летального результатуа.
Все, що потрібно знати дерматолога про застосування топічних глюкокортикоїдів
Методи специфічної діагностики та лікування вульгарної пухирчатки
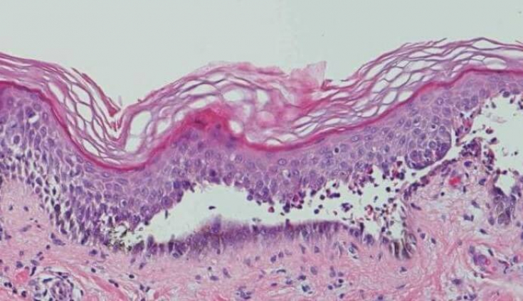
Головний симптом вульгарної пухирчатки - патологічні зміни шипового шару епідермісу.
За наявності специфічних скарг у хворого лікар перевіряє стан здорового епідермісу під час тертя. Для цього він відтягує стінку міхура, що лопнув і, якщо шкіра відшаровується на деяку відстань від вогнища, то симптом позитивний.
Також для діагностики вульгарної пухирчатки можна натиснути пальцем на міхур, тоді шкіра відшарується по краях, збільшуючи площу ураження.

Підтверджується діагноз за допомогою:
- біопсії свіжого міхура;
- цитологічного дослідження;
- мікроскопія мазка - відбиток з дна міхура.
Лікування вульгарної пухирчатки полягає у прийомі високих доз кортикостероїдних препаратів з поступовим зниженням дози.
Також доцільним є призначення цитостатиків для прискорення ремісії.
Пізніше проводять плазмаферез для очищення крові від антитіл.
Мер профілактики для вульгарної пухирчатки не існує. Пацієнтам, які страждають на таку недугу, потрібно приймати дози кортикостероїдних препаратів, що підтримують, до кінця життя.
Особливості проведення біопсії шкіри: практичний посібник для лікарів

Додати коментар