Наявність авітамінозу у людини завжди супроводжується різноманітними симптомами. Дефіцит кожного вітаміну має специфічні прояви. Тільки важкі стадії авітамінозу турбують пацієнта та змушують звернутися до лікаря. На ранніх стадіях розвитку дефіциту вітамінів можливе виявлення за допомогою лабораторних методів дослідження, а також при об'єктивному огляді пацієнта. Зовнішній вигляд, стан шкіри, нігтів, ясен та волосся, емоції та поведінка людини можуть свідчити про авітамінози. Але, крім цього, ознаки та симптоми авітамінозу виявляються під час огляду очного дна. Як уражаються тканини ока при авітамінозах?
Ураження очей при дефіциті вітамінів. Симптоми авітамінозів
У дітей частіше зустрічаються ендогенні авітамінози на тлі патологій шлунково-кишкового тракту та печінки. У печінці відбуваються важливі процеси щодо засвоєння вітамінів - всмоктування, синтез, фосфорилювання та депонування. Ці реакції відбуваються за участю вітаміновмісних ферментів, які інактивуються сульфаніламідними препаратами та антибіотиками. Тому тривалий прийом антибактеріальних препаратів є фактором розвитку симптомів авітамінозу навіть за відсутності патологій шлунково-кишкового тракту і при стабільному надходженні вітамінів з їжею.
Очні симптоми авітамінозів:
- Прояви симптомів авітамінозу В1 складаються з осьових ретробульбарних невритів та нейродистрофічних кератитів. Кератити супроводжуються дископодібними помутніннями та круговими абсцесами рогівки. Відзначається зовнішня офтальмоплегія.
- Авітаміноз В2 провокує розвиток флектенульозного кератокон'юнктивіту та дистрофічних змін епітелію рогівки.
- При авітамінозах В6 та В12 рогівковий епітелій зазнає дистрофічних змін і десквамується.
- Авітаміноз С характеризується наявністю крововиливів у сітківку та під кон'юнктиву через підвищену крихкість судинної стінки. Раптовий екзофтальм та зміщення очного яблука може бути викликаний крововиливом у ретробульбарну сітківку.
- Симптоми авітамінозу D характеризуються деформацією кісток черепа, що сприяє зменшенню обсягу очниці та розвитком екзофтальму.
- Авітаміноз Е провокує розвиток дистрофічних змін у сітківці, кришталику та рогівці. Характерний кератоконус.
Симптоми авітамінозу А. Зміни очей при нестачі вітаміну А
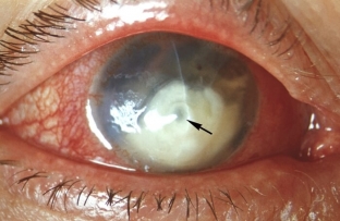
Авітаміноз А характеризується епітеліальним ксерозом та кератомаляцією. Нестача вітаміну А проявляється системною метаплазією та злущуванням епітелію слизових оболонок. При цьому кон'юнктива втрачає свій блиск, на лімбі з'являються трикутні ділянки, які мають вигляд засохлої піни та називаються бляшками Іскерського-Біто.
Симптоми авітамінозу А включають потьмяніння та зниження чутливості рогівки. У ослаблених дітей раннього віку часто виявляється кератомаляція, рогівка набуває сіро-білого кольору. Надалі можливий розпад рогівки, її перфорація та випадання оболонок ока. Основним симптомом авітамінозу А є геміралопія (куряча сліпота).
> >
Вітаміни є надзвичайно важливими для нормального функціонування зорового апарату. Тому пацієнт повинен бути поінформований про важливість вживання в їжу натуральних продуктів рослинного та тваринного походження, особливо тих, що містять вітамін А. За наявності у пацієнта симптомів авітамінозу йому необхідно пройти обстеження шлунково-кишкового тракту.

Додати коментар