Професійна косметика, яка здатна досягати дермальних шарів… Апаратні технології, що працюють без болю та неприємних побічних ефектів… Ін'єкційні препарати, що творять чудеса зі шкірою пацієнта. Біосинтезовані молекули, що гідролізують шкіру, зменшують зморшки, збільшують втрачені обсяги...
Біоактивні пептиди, амінокислоти, гіалуронова кислота… Чи можна сьогодні чимось здивувати спеціаліста естетичної медицини? Виявляється, так. Сюрпризи подають хімічні пілінги, властивості яких ще не остаточно вивчені.
Власними враженнями про можливості пілінгу PRX-T33 з читачами estet-portal.com поділився лікар-дерматовенеролог, провідний експерт з PRX-T33-терапії Данило Кашик.
Види хімічних пілінгів та цілі їх застосування
Одна з найбільш затребуваних процедур у роботі сучасного фахівця естетичної медицини – ndash; кислотний догляд, він же пілінг (англ. peel — «очищати», «знімати лушпиння»). Простота в застосуванні, відносна нетривалість процедури і, найголовніше, приголомшливий результат, що омолоджує, завжди були причинами вибору пілінгів.
Кислоти різних концентрацій, що застосовуються в пілінгах, ефективні не тільки з метою омолодження, зниження гіперпігментації та поліпшення текстури шкіри, а й у комплексній терапії акне, меланодермії та розацеа. До речі, наприкінці 1990-х пілінг був настільки затребуваний, що вважався найпопулярнішою процедурою в США.
Залежно від глибини впливу існує кілька видів хімічного пілінгу: поверхневий, серединний і глибокий.
• Поверхневий: викликає некроз всіх шарів епідермісу від зернистого до базального.
• Середній: викликає некроз усіх шарів епідермісу та частково сосочкового шару дерми.
• Глибокий: некроз захоплює сітчастий шар дерми.

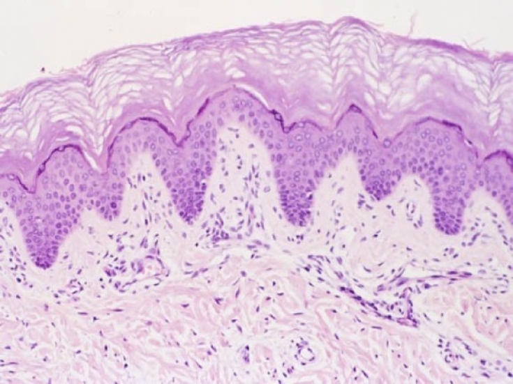
Найпопулярнішою процедурою із застосуванням кислот сьогодні є поверхневий пілінг. Це пов'язано з відносною безпекою та простотою виконання процедури, отриманням при цьому досить добрих результатів. Однак, на мій погляд, для досягнення оптимального результату кислота повинна наводити дерму у стан стресової ситуації. Адже саме в сосочковому шарі дерми відзначається більше скупчення клітинних елементів, таких як фібробласти, а також більша щільність судинних елементів.
Гістологічне зображення сосочкового шару дерми
Це говорить про те, що, використовуючи серединну концентрацію кислоти і досягаючи сосочкового шару дерми, ми зможемо швидше запустити процес регенерації та синтез факторів росту і, як наслідок, досягти покращення зовнішнього вигляду шкіри.
Оптимальний вибір кислот для ефективного хімічного пілінгу
Коли ми говоримо про серединну концентрацію кислот, мається на увазі конкретне відсоткове співвідношення. Щоб досягти сосочкового шару дерми та запустити процеси оновлення шкіри, концентрація кислоти має бути не менше 30%. Важливим є і вид кислоти. Випробувавши різноманітні види кислот, я дійшов висновку, що найбільш ефективною та безпечною є молекула трихлороцтової кислоти (ТСА).
І на це є низка причин:
• трихлороцтова кислота використовується як пілінг з 1926 року і досліджена у всіх аспектах, що говорить про величезну доказову базу;
• молекула ТСА одна з найстабільніших і не демонструє легкого формування реактивних вільних електронів;
• трихлороцтова кислота не виявляє фотоактивності, і це величезний плюс у частині застосування її в період активної інсоляції.
• ТСА характеризується потужною бактерицидною дією.
З цього ми можемо зробити висновок: найбільш ефективною кислотною процедурою є пілінг із застосуванням 30-35 процентної трихлороцтової кислоти.
Звичайно, завдавши такої концентрації на обличчя пацієнта, ви миттєво отримаєте каустичний ефект і в результаті таке поширене явище як «фрост» - білу плівку з денатурованих білкових структур клітин епідермісу.
Є багато думок щодо «фроста». Одні кажуть, що без нього неможливо домогтися ефекту омолоджування від хімічного пілінгу, інші заявляють про небезпеку таких шкірних проявів. Я схиляюся до думки, що ефект «фроста» - це свого роду рудимент естетичної медицини і, звичайно, омолоджувального ефекту можна досягти і без нього. «Фрост» несе тривалий відновлювальний період з «корочками» і лущенням. Після таких процедур пацієнти довго не виходять із дому і ще дуже довго користуються потужними сонцезахисними засобами. У 2018 році вибивати пацієнтів із соціуму на кілька тижнів – ndash; це «недозволена розкіш».
Особливості неінвазивного стимулятора дерми в порівнянні з традиційним хімічним пілінгом
Виробники хімічних пілінгів навчилися скорочувати відновлювальний період та знижувати агресивний вплив високих концентрацій кислот за допомогою додавання буферних систем. Хоч це і знижує ризик розвитку побічних ефектів, але концентрація кислоти значно падає. Вище ми з'ясували, що з досягнення сосочкового шару дерми необхідна певна відсоткова концентрація кислоти, тому додавання буферних основ суперечить цілям лікаря. У якийсь момент перед технологами та хіміками постало питання: яким чином знизити агресивний вплив пілінгу і при цьому не торкнутися концентрації кислоти?
Відповідь до нас прийшла з Італії. Компанія «WIQO med» на чолі з Розаною Кастеланою розробила формулу на основі молекули ТСА (33%), перекису водню (до 1,3%) та койєвої кислоти (5%).
Продукт PRX-T33, представлений нашим лікарям компанією Ukrainian Aesthetics, не можна назвати просто пілінгом. По-перше, тому що він не викликає відлущувального ефекту, як традиційний хімічний пілінг.
По-друге, у PRX-T33 головну роль відіграє не трихлороцтова кислота. Всі компоненти однаково виконують певні функції для досягнення однієї мети – омолоджувального ефекту.
• Трихлороцтова кислота (33%): активізує гормональну реакцію незалежно від гіпоталамо-гіпофізарної осі. У ході контрольованого запалення починається активне вивільнення прозапальних цитокінів, завдяки яким у процесі біохімічної реакції виділяються бетаендорфіни, адренокортикотропний та меланостимулюючий гормони. Це сприяє проліферації фібробластів та кератиноцитів та підвищенню клітинного оновлення.
• Перекис водню (1,3%): виступає як підсилювач дії трихлороцтової кислоти та її нейтралізатора в епідермісі. Завдяки цьому знижується агресивна дія кислоти, але при цьому не змінюється її активність та концентрація.
• Койєва кислота (5%): відіграє активну роль в інгібуванні післязапальної гіперпігментації.

Завдяки наявності на косметологічному ринку продукту з такою інноваційною формулою поняття «сезонності» пілінг зникає. PRX-T33 можна проводити будь-якої пори року, навіть улітку, тоді як інші серйозні процедури, пов'язані із застосуванням кислот, небезпечні. Але не забувайте, що при проведенні процедури в період активної інсоляції сонцезахисні засоби з високим фактором SPF ніхто не скасовував.
Величезний плюс процедури полягає в її комплексності. Провівши пілінг PRX-T33, вже за 8 годин ви можете зробити біоревіталізацію або мезотерапію.
Зазначимо, що продукт і сам по собі вже виконує роль біоревіталізму за рахунок активації факторів росту та глікозаміногліканів. Тому PRX-T33 не можна називати пілінгом у традиційному розумінні, скоріше це неінвазивний стимулятор дерми.
На сьогодні дуже мало продуктів, які можуть виконувати відразу кілька функцій, бути комплексними і при цьому безпечними. Неінвазивний стимулятор дерми PRX-T33, представлений Ukrainian Aesthetics, є саме таким препаратом. За рахунок своєї комплексності він розширює межі традиційних пілінгів та дозволяє поєднати в одній неінвазивній процедурі кілька напрямків естетичної медицини.

Додати коментар