Вузликовий періартеріїт або поліартеріїт – це одна з форм некротизуючого васкуліту, що охоплює артерії середнього діаметра, а також впливає на запалення та обмеження кровопостачання м'яких тканин та внутрішніх органів людини. Вперше це захворювання було описано в 19 столітті.
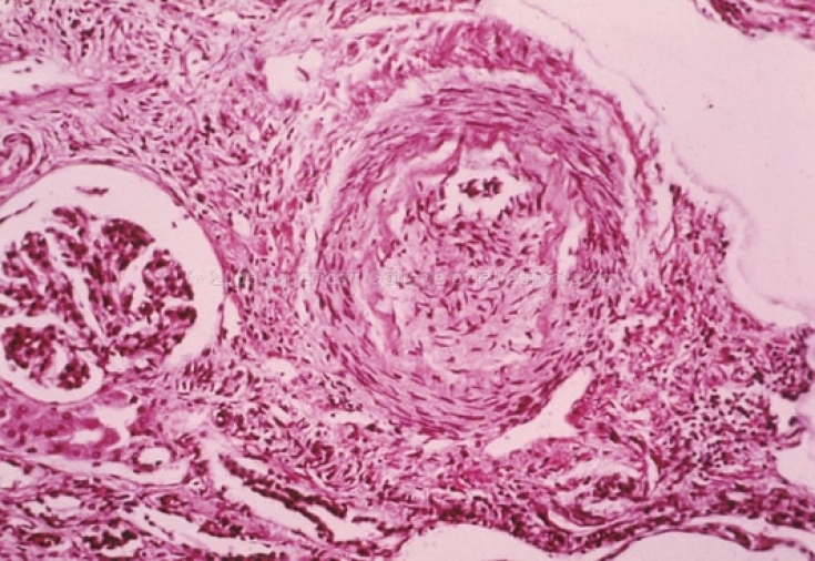
Середня цифра захворюваності на вузликовий періартеріїт становить 0,7 випадку (за співвідношенням 0,2-1,0) на 100 осіб. При цьому нирки уражаються у 64-80% випадків.
Докладніше про причини, умови, механізм дії та клінічні симптоми вузликового періартеріїту читайте на estet-portal.com.
Кого часто вражає вузликовий періартеріїт?
Перший опис цього захворювання було виведено А.Куссмаулем та Р.Майєром у 1866 році. У деяких джерелах вузликовий періартеріїт зустрічається з відповідною назвою – хвороба Куссмауля-Майєра. Вони виявили та описали його у чоловіка 27 років як системну недугу, що супроводжується підвищенням температури тіла, черевним больовим синдромом, слабкістю м'язів, полінейропатією та порушеннями роботи нирок. Частота виникнення даного захворювання у чоловіків у три-п'ять разів вища, ніж у жінок. Віковий діапазон пацієнтів з вузликовим періартеріїтом при цьому знаходиться в рамках 30-50 років, хоча іноді відзначається у молодшої та старшої вікової категорії.
Щодо причин та умов виникнення поліартеріїту цього типу, поки що вони не встановлені. Однак дослідження виявили зв'язок вузликового періартеріїту з деякими вірусними інфекціями. Тому наявність вірусних інфекцій, у тому числі хронічних, підвищує ризик розвитку вузликового періартеріїту.
Якими симптомами виявляється вузликовий періартеріїт?
Вузликовий періартеріїт може супроводжуватися розвитком артеріального некротизуючого васкуліту середніх та малих масштабів. Часто в цей процес залучаються всі три судинні стінки, що призводить до появи аневризм. Але спочатку захворювання проявляється поступово. Гострим нападом може початися лише вузликовий періартеріїт лікарського походження.
Загальні неспецифічні ознаки можуть зберігатися кілька тижнів. Спочатку вони виявляються симптомами суглобового синдрому, втратою ваги або лихоманкою, далі можуть супроводжуватися ознаками вісцеральних уражень.
Наступними симптомами періартеріїту вузликового типу можуть бути:
- вже описані ознаки суглобового синдрому;
- ураження шкіри, що виявляється появою невеликих вузлів, що розташовуються по ходу судин;
- черевний синдром (36-44%), що супроводжується болями в області живота, розладом травлення або навіть ознаками шлунково-кишкової кровотечі;
- порушення в роботі периферичної нервової системи з проявами асиметричного поліневриту;
- ураження серця у вигляді коронариту;
- рідко – порушення роботи легень, ендокринної системи чи запалення очей.
Які причини виникнення вузликового періартеріїту?
Як говорилося вище, це захворювання часто пов'язують із деякими інфекціями вірусного характеру. На першому місці серед них стоїть вірус гепатиту В (HBV). Частота захворювання у різних країнах має різне відсоткове співвідношення. Так, у Франції та США завдяки вакцинації такий відсоток є досить низьким.
Говорячи про те, як співвідноситься вузликовий періартеріїт та гепатит В, можна навести дані, зібрані О. Семенковою. Виходячи з них, більш ніж у 75% пацієнтів з поліартеріїтом були виявлені маркери гепатиту В. Однак серед тих, хто вже був інфікований HBV, періартеріїт відзначався практично у 3% випадків.
Крім того, крім гепатиту В в обговореннях фігурували й інші інфекції, такі як гепатит С, герпес, цитомегаловірус та ВІЛ. Переходячи до механізму течії вузликового періартеріїту, варто відзначити, що він має імунокомплексний характер. Імунні комплекси відкладаються у стінках судин, чим викликають порушення роботи та патології структури артеріальних стінок.
Таким чином, за наявності підозр на розвиток вузликового періартеріїту рекомендовано комплексне обстеження пацієнта та, крім лікування поліартеріїту, необхідна противірусна терапія.

Додати коментар