Серед безлічі урологічних патологій одними з найнебезпечніших станів є захворювань головного органу сечовидільної системи – нирок. Нирка – це орган, який очищає кров людини та, таким чином, регулює хімічний гомеостаз організму. Це парний орган, який розташовується за очеревиною в ділянці нирок, де фіксується за допомогою свого зв'язкового апарату. При дії певних факторів, таких як травми або інфекції, що фіксує апарат нирки може пошкоджуватися, внаслідок чого розвивається нефроптоз – опущення нирки. Такий патологічний стан загрожує організму розвитком серйозних ускладнень, оскільки створюються сприятливі умови для їх виникнення.
Як діагностувати нефроптоз на ранніх стадіях та уникнути ускладнень
На ранніх стадіях нефроптоз має властивість протікати практично безсимптомно, а ранні прояви патології можуть бути настільки мінімальними, що пацієнти часто не звертають на них уваги. При цьому патологічний процес продовжує посилюватись, створюючи все більш відповідні умови для розвитку ускладнень. Однією з найбільш ранніх ознак нефроптозу є виникнення тупого болю в ділянці попереку. Больовий синдром виникає при фізичних навантаженнях, але проходить у стані спокою або тоді, коли пацієнт перебуває у горизонтальному положенні. Тому біль пацієнти сприймають найчастіше як один із проявів патології хребта. Своєчасна діагностика нефроптозу допомагає уникнути розвитку ускладнень та обійтися у лікуванні патології лише консервативними методами.
Нефроптоз:
- основні інструментальні методи діагностики нефроптозу;
- консервативне лікування нефроптозу: бандаж та фізкультура;
- розвитком якихось ускладнень може загрожувати опущення нирки.
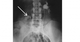
Основні інструментальні методи діагностики нефроптозу
Найбільш інформативними методами діагностики нефроптозу є інструментальні дослідження, такі як:
- екскреторна урографія – виконується у горизонтальному та вертикальному положенні, дозволяє визначити зміщення нирки за рахунок її відношення до хребців. Нормальна рухливість нирок становить висоту тіла максимум півтора хребця;
- ультразвукове дослідження також дозволяє визначити виражену рухливість нирки;
- радіоізотопні методи дають можливість визначити порушення функції нирок за рахунок ступеня зниження секреції та уповільнення евакуації сечі;
- артеріографія та венографія нирок дають можливість визначити зміни кровопостачання нирок.

Консервативне лікування нефроптозу: бандаж та фізкультура
Консервативне лікування нефроптозу можливе на ранніх стадіях захворювання, коли зміщення нирки є незначним. У цьому консервативна терапія спрямовано як зменшення ступеня нефроптоза, а й у профілактику ускладнень, які можуть бути викликані патологічним становищем нирок. Найбільш ефективним методом консервативного лікування нефроптозу є носіння спеціального еластичного бандажу у поєднанні з комплексом лікувальної фізкультури. Бандаж пацієнти одягають вранці, перед тим, як піднімаються з ліжка, тобто, перебуваючи в горизонтальному положенні. Фізичні вправи здебільшого також виконуються лежачи, з піднятими догори ногами. Пацієнту забороняються заняття спортом та будь-які фізичні навантаження, крім плавання. Крім того, важливо скоригувати раціон пацієнтів,
Розвитком яких ускладнень може загрожувати опущення нирки
На пізніх стадіях нефроптозу, коли функція нирок значно порушується, можуть виникати різні ускладнення нефроптозу, найнебезпечнішими з яких є:
- пієлонефрит – найбільш поширене ускладнення нефроптозу, що може протікати в хронічній, гострій гнійній та необструктивній формах. Розвивається запальний процес внаслідок утруднення венозного відтоку та порушення пасажу сечі;
- ниркова венозна гіпертензія провокується фізичною напругою, виникає найчастіше наприкінці дня, проявляється макро- та мікрогематурією та зникає тоді, коли пацієнт перебуває в горизонтальному положенні тіла;
- артеріальна гіпертензія виникає як результат звуження ниркової артерії у відповідь на її натяг та перекрут.
Додати коментар