Амілоїдний ліхен (папульозний амілоїдоз шкіри) як самостійне захворювання описаний ще 1921 року. Це мезенхімальний диспротеїноз, при якому характерне відкладення амілоїду тільки в шкірі.
Білок амілоїд – це глікопептид, який включає білок (F- компонент), плазмові білки і полісахариди (Р- компонент), а також продукти перетворення кератину (К- компонент). Зареєстровано сімейні випадки захворювання. Захворювання часто вражає людей після 50 років. Локальна форма первинного амілоїдозу має назву синдром Гутмана і проявляється у кількох клінічних формах: папульозна, вузлувата, плямиста та вторинна місцева. Найчастіша форма амілоїдозу шкіри-папульозна.
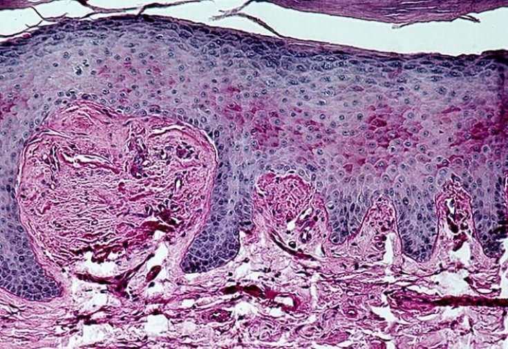
Клінічні прояви амілоїдного ліхену. Особливості папул
Висипання на шкірі з'являються симетрично. Улюблена локалізація ліхена – на передній поверхні гомілок, у підколінних областях. Елементи висипання – множинні папули, які мають вигляд напівпрозорих щільних бляшок, що злегка піднімаються над поверхнею шкіри. Папули мають напівкулясту конфігурацію. На папулах можуть з'являтися дрібні сіруваті лусочки. Папули дуже тісно прилягають одна до одної, але не зливаються. Колір цих папул коливається від тілесного до рожевого. Ліхен може мати червоний, синюшний або коричневий відтінок. Можлива поява веррукозних вогнищ із гіперкератозом. Відзначається найсильніший свербіж. Шкіра навколо папул має багато гребінців, кров'янистих скоринок і ліхеніфікацій. Шкіра у місці поразки дуже щільна.
Основи діагностики амілоїдного ліхена шкіри
Діагноз ліхен ставиться на основі клінічних даних (наявність характерних папул) та болісного сверблячки. При морфологічному дослідженні папули специфічно забарвлюються в конго-червоний.
У сосочковому шарі дерми при ліхені накопичуються амілоїдні маси, які забарвлюються в жовтий колір за методом Ван-Гізона, у червоний - конго червоним, у рожевий - гематоксиліном та еозином.
Амілоїдний ліхен шкіри необхідно відрізняти від червоного плоского лишаю, ліпоїдного протеїнозу, мікседематозного ліхена, обмеженого нейродерміту.
Аспекти лікування амілоїдного ліхена шкіри
При лікуванні амілоїдного ліхена раніше призначали ацитретин та хлорохін за схемою. Місцево призначали глюкокортикоїдні мазі під пов'язку, протисвербіжні засоби, мазі, що містять нафталанську нафту, березовий дьоготь, антисептик-стимулятор Дорогова (АСД), іхтаммол. Як відомо, ліхен дуже важко вилікувати, оскільки процес майже не піддається лікуванню. На пошуки методів лікування та покращення якості життя пацієнтів з лихеном дослідники витратили чимало часу та зусиль.
Результати не змусили на себе чекати. Нещодавно в Лос-Анджелесі почали успішно лікувати амілоїдний ліхен із застосуванням лазерної дії. За останніми даними, це перший задокументований звіт про успішне застосування фракційного аблятивного лазера для лікування амілоїдного ліхена.
Клінічний випадок лікування ліхена лазерною технологією
Пацієнтка 60 років скаржилася на болісний свербіж шкіри нижніх кінцівок, який триває вже 15 років. Хвора використовувала різні скраби під час купання багато років. Папули були стійкі до лікування стероїдними мазями та саліциловою кислотою. Сімейний анамнез без особливостей.
При огляді спостерігалися папули, які розташовувалися симетрично на гомілкових поверхнях нижніх кінцівок. Аналізи крові були в межах норми. При фарбуванні були виявлені рожеві гомогенні маси. Було встановлено остаточний діагноз амілоїдного ліхена шкіри нижніх кінцівок та прийнято рішення про лікування дробовою аблятивною технологією.
Пацієнтку було проліковано лазерною технологією протягом 45 хвилин із використанням 2,5% лідокаїну. Наприкінці лікування пацієнтці радили дотримуватися заходів захисту від сонця та застосовувати зволожуючий крем. Через тиждень після лазерного лікування хворий було рекомендовано використовувати стероїдні мазі та кератолітичні засоби (саліцилова кислота). Таке місцеве лікування потрібно було робити до наступного лікування лазером, яке проводилось із 3-тижневими інтервалами. Значне поліпшення було відзначено вже після другого курсу лікування. Ділянок поразки стало значно менше, свербіж та лущення були не так виражені. Після 6 сеансів у пацієнтки було виліковано 95% висипань.
Тому було зроблено висновок, що найкраще лікування амілоїдного ліхена шкіри – це лазерне лікування. Лазер зменшує вироблення амілоїду, впливаючи на процес кератинізації. За допомогою лазера в сосочках дерми створюють канали, через які видаляють відкладення амілоїду. Побічних явищ не було помічено. На сьогоднішній день вважається, що метод абсолютно безпечний і ефективний у лікуванні амілоїдного ліхена шкіри та у звільненні сверблячки шкіри від ліхена.

Додати коментар