Інфекційні урогенітальні захворювання на сьогоднішній день становлять значну частину не лише медичних проблем, а й соціально – економічних. Інфекційні процеси урогенітального тракту ускладнюються ураженням внутрішніх органів, розвитком безплідності, інфікуванням плода та вродженими вадами розвитку у дітей. Рівень захворювання ІПСШ продовжує збільшуватися, що пов'язано з низькою поінформованістю населення, зміною стандартів статевої поведінки, сексуальною свободою, раннім початком статевого життя, позашлюбними та дошлюбними зв'язками та низькою санітарно – гігієнічною культурою. Одне з перших місць у структурі ІПСШ займає урогенітальний трихомоніаз.
Основні клінічні прояви урогенітального трихомоніазу
Згідно зі статистичними даними, у світі щорічно реєструється 334 млн нових випадків ІПСШ, з них близько 170 тисяч становить урогенітальний трихомоніаз. Збудником цієї хвороби є Trichomonas vaginalis. Методи виявлення трихомонади читайте на estet-portal.com. Перебіг урогенітального трихомоніазу має такі особливості: багатоосередковість ураження, поліморфізм, можливість безсимптомного носійства та часте хронічне перебіг з рецидивами. Діагноз встановлюється на підставі клінічних скарг та виявлення збудника у досліджуваних матеріалах.
Основні клінічні симптоми та скарги при урогенітальному трихомоніазі:
- гіперемія піхви та вульви;
- пінисті виділення жовто-зеленого кольору (спостерігаються у 12% жінок);
- диспареунія;
- свербіж;
- дизурія;
- шийка матки та вагіни при огляді в дзеркалах має вигляд «полуниці» - точкові геморагії зустрічаються у 2% жінок.
Методи діагностики та виявлення збудника при урогенітальному трихомоніазі
Безсимптомний перебіг урогенітального трихомоніазу зустрічається у половині випадків, тому основним надійним способом діагностики залишається виділення збудника. З цією метою проводять забір клінічного матеріалу з найбільш підозрілих щодо можливого інфікування вогнищ – це шийка матки, піхва, уретра, цервікальний канал, передміхурова залоза.
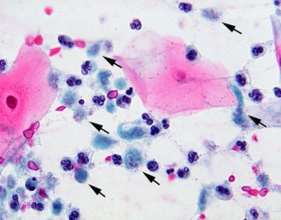
Мікроскопію нативного препарату проводять з метою виявлення трихомонад у ньому. Матеріал готується при змішуванні краплі досліджуваного матеріалу з краплею теплого ізотонічного розчину хлориду натрію або розчину Рінгера - Локка. Після накриття покривним склом дивляться під мікроскопом зі збільшенням об'єктиву 40 та окуляра 7 або 10.
Для дослідження беруть секрет передміхурової залози, еякулят, центрифугат сечі, що відокремлюється з цервікального каналу чи уретри. При вивченні нативного матеріалу в процесі діагностики урогенітального трихомоніазу звертається особлива увага на форму, розміри, внутрішній вміст клітин та характер їхнього руху.

Трихомонада при мікроскопії виглядає так: овальне або грушоподібне тіло розміром 13-17 мкм, яке здійснює поступальні поштовхоподібні рухи. Іноді можна побачити рух вільних джгутиків. Цитоплазма зерниста, вакуолізована. Ядро погано диференціюється або взагалі відсутнє.
Докладніше і чіткіше побачити трихомонаду дозволяє метод фазово – контрастної мікроскопії.
Як поставити діагноз урогенітальний трихомоніаз?
Важливо пам'ятати, що за відсутності типових для трихомоніазу форм діагноз урогенітальний трихомоніаз вважається лише припущенням.
Протягом останніх десятиліть дедалі частіше стали визначатися атипові метаболічні малоактивні особини паразиту, які позбавлені органоїдів руху. Це значно ускладнило діагностику інфекції, оскільки морфологія та рухливість є основними критеріями виявлення найпростіших. При безсимптомних формах урогенітального трихомоніазу, а також за недостатньої кількості полів зору чутливість мікроскопічного методу знижується.
Варто відзначити можливість хибнопозитивних результатів, які обумовлені прийняттям за трихомонади епітеліальних клітин.
Важливо пам'ятати, що діагноз ІПСШ тягне за собою не тільки медичні проблеми, а й порушення взаємовідносин та довіри в сім'ї, що може мати різні наслідки, аж до розлучення та суїциду.
Тому необхідно точно верифікувати діагноз і за найменших сумнівів підтверджувати урогенітальний трихомоніаз більш чутливими методами.
Додати коментар